刚刚入门的医学图像配准小白,做一下笔记
一、配准框架(Registration Framework)

Fixed Image :固定图像
Moving Image:浮动图像(参照固定图像进行形变)
Interpolator:插值(由于图像进行形变时会出现像素点的丢失,所以通过插值进行恢复)
Metric:测量两个图像相似性的标准(重点关注)
Optimizer:求优
Transform:实现转换矩阵
二、配准分类(Classification)
1.基于Dimensionality
-2D-2D, 3D-3D, 2D-3D(更难)
2.基于特征(Nature of registration basis)
-Image based: Extrinsic, Intrinsic
-Non-image based
3.基于转换的属性(Nature of the transformation)
-Rigid, Affine, Projective(投影), Curved
4.基于交互的方式(Interaction)
-Interactive, Semi-automatic, Automatic
5.基于模态(Modalities)
-Monomodal, Multimodal, Modality to modal
6.基于处理的对象(Subject)
-Intra-subject(同个患者), Inter-subject(不同患者), Atlas(解剖图谱)
三、什么是坐标系的转换(Transformation)
1.刚性配准(Rigid)
Translations and rotations(不改变细节)
2.仿射配准(Affine)
Also allows scaling and shearing (剪切和放大缩小,对边需要保持平行)
3.曲线配准(Curved)
Allows the mapping of straight lines to curves
4.Perspective
The parallelism of lines need not be perserved.

四、配准算法(Registration algorithms)
Method used to find the transformation(可以帮助找到坐标转换矩阵,怎样实现融合)
1.Rigid and Affine
-Landmark based
-Information theory based
- Edge based
-Voxel intensity based
2.Non-rigid
-Registration using basis functions
-Registration using splines
-Physics based
3.Elastic, Fluid, Optical flow, etc.
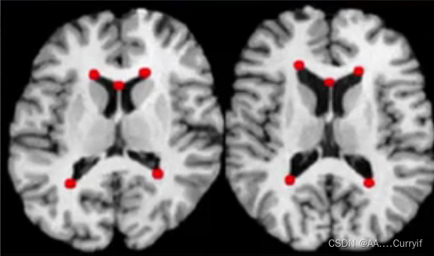
(1) Landmark based

— Indentifying corresponding points in the images and inferring the image transformation
—Types of landmatks:
-Intrinsic: internal anatomical structure
-Extrinsic: artificial objects attached to the patients
—Computing the average or ‘centroid’ of each set of points → translation
(2)Surfaced based
-Extracting corresponding suifaces
-Computing the transformation by minimizing some measure of distance between the two surfaces
-The ‘Head and Hat’ Algorithm
(3)Voxel intensity based

-Calculating the registration transformation by optimizing some measure calculated directly from the voxel values in the images(计算两个图像之间灰度的差异,找到最小差异从而实现配准)
-Registration by minimizing intensity difference
-Correlation techniques(相关性)
-Ratio image uniformity(一致性比率的最大值)
-Parititioned Intensity Uniformity
(4)Information theory based

To maximinze the amount of shared information in two images(可以把两个图像相对的熵进行一个和的提取,然后减小其中所含的信息量,最后形成配准的最优化)
-Joint entropy(衡量混合后图像信息量的总和,达到最小时,图像配准达到最好)
-Mutual information(互信息,衡量一个图像所含信息的多少,用来解释两个图像是否最好的匹配,通常求最大值)
-Normalized Mutual Information
(5) Registration using basis functions
-Represent the deformation field using a set of basis functions
(6)Registration using splines
五、优化算法(Optimization)
假设一个配准的初始点,然后逐渐进行反复的优化,经过反复的配准,把上一次的状态转变到第一次优化配准完后的状态,在此基础上,在循环实现下一次的配准目标,在此基础上,可以通过估算
下一次的优化位置,来进行下一次优化测度的测量,这种测度有可能是欠或者过,最终会停留下来,得到一个满意的结果。
-an initial estimate of the transformation is gradually refined
-In each iteration, the current estimate of the transformation is uesd to calculate a similarity measure
-makes another estimate of the transformation, evaluates the similarity measure again, and continues until the algorithm converges
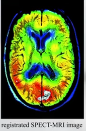
六、可视化(Visualization)

-Color overlay(彩色叠加,实现差异的变化)
-Interleaved pixel or chessboard fusion(将两幅图像切成小方块,在他们相邻的方块之间显示不同的图像,通过方块之间的衔接,判断配准是否准确)
-Dynamic alternating display
-Split view displays(两个显示器)
-Subtraction images(做减法)
七、金标准(Validation)
Measurements using computer generated models, images of physical phantoms of accurately known construction and dimensions and images of patients or volunteers.
免责声明:本文系网络转载或改编,未找到原创作者,版权归原作者所有。如涉及版权,请联系删